
Abnormal growths that form inside bones are called bone tumors. They may be malignant (cancerous) or benign (non-cancerous). Malignant bone tumors, particularly primary bone cancers, can be aggressive and need immediate treatment, whereas benign bone tumors are more prevalent and frequently less harmful.
Although they make up less than 1% of all cancers, bone cancers are more frequently found in children, adolescents, and young adults. To improve results and maintain function, early diagnosis and specialized treatment are essential.
Bone tumours are broadly classified as:
Malignant bone tumours are either:
Common Types of Primary Bone Cancer
Each type behaves differently and requires a specific treatment approach.
The exact cause of bone tumours is often unknown, but certain factors can increase risk:
Lifestyle factors like smoking and drinking alcohol are not strongly associated with bone tumors, in contrast to many other types of cancer.
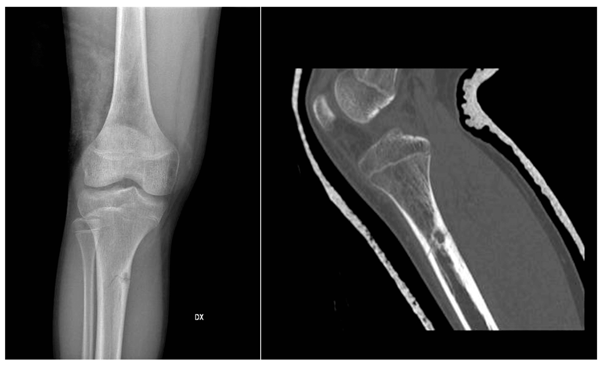
Depending on the tumor's size, location, and whether it is benign or malignant, bone tumor symptoms can change. Typical indicators include:
Never write off chronic limb pain in kids and teenagers as "growing pains" if it doesn't go away.
For the right treatment, an accurate diagnosis is essential. Evaluation usually consists of:
Since the lungs are the most frequent site of metastasis for bone cancers, the tumor is staged after diagnosis to determine how far it has spread.
A multidisciplinary approach is necessary for the management of malignant bone tumors, frequently involving radiation specialists, medical oncologists, surgical oncologists, and rehabilitation teams.
The main treatment for localized bone cancers is typically surgical excision of the tumor. Instead of amputation, modern methods strive for limb-sparing surgery. Reconstruction with bone grafts or metal implants may be required in certain situations.
Osteosarcoma and Ewing's sarcoma require chemotherapy, particularly to reduce the tumor prior to surgery (neoadjuvant) and eradicate microscopic disease afterwards (adjuvant). Chondrosarcoma, which has a tendency to be resistant, is less frequently treated with it.
Inoperable tumors or tumor types that respond better to radiation, such as Ewing's sarcoma, may be treated with radiation. In more severe cases, it also helps with pain relief.
Targeted treatments and immunotherapy are being investigated in clinical trials and a few selected cases, but they are not yet common for the majority of bone cancers, particularly in cases where the disease is advanced or metastatic.
Treatment for bone tumors can result in a lengthy recovery, particularly following surgery. Restoring function and quality of life requires rehabilitation.
Additionally, patients will need frequent follow-ups to check for metastases or recurrence, particularly in the lungs.
The tumor's size, location, stage, type, and response to treatment all affect the prognosis.
It's critical to seek treatment at facilities that have experience managing sarcomas and bone cancers because of the intricacy and rarity of bone tumors. The best chance of recovery is provided by an early, precise diagnosis and professional treatment.
Medical oncologist Dr. Amit Badola is essential in the management of systemic therapies and chemotherapy for primary bone cancers. In order to provide comprehensive, multidisciplinary care that is customized to each patient's particular condition, he collaborates closely with the surgical and radiation teams.